Je třeba začít s tím, že nejjednodušší organismy se objevily velmi dávno; jsou považováni za nejstarší obyvatele planety. Za dobu své existence se stali neuvěřitelně odolnými vůči různým výzvám. Dokážou přežít i v těch nejnebezpečnějších prostředích.
Tyto mikroorganismy si pro sebe zvolily velmi pohodlný způsob existence - parazitismus, zejména v lidském těle. Jak již bylo zmíněno, tyto mikroorganismy jsou neuvěřitelně „škodlivé“ a perzistentní, a proto je někdy tak těžké se jich zbavit.
Existuje několik typů míst, kde paraziti „přebývají“. První typ zahrnuje endogenní mikroorganismy, to znamená ty, které jsou uvnitř lidského těla. Druhý typ zahrnuje exogenní parazity, kteří se ochotně „usazují“ na kůži a způsobují různá kožní onemocnění.
Typy prvokových parazitů
V zásadě existují 4 typy parazitů, kteří „žijí dobře“ v lidském těle.
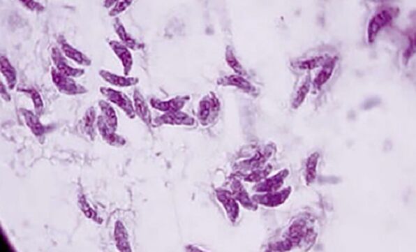
Bičíkovci
Patří mezi ně Giardia a Trypanosomy. Tato třída je zástupcem nejstarších zástupců parazitů. Toto jméno dostali díky orgánu svého hnutí: bičíkům. Velikost samotných parazitů je jednoduše mikroskopická, mají konstantní tvar a rozmnožují se zpravidla rozdělením na dvě části.

Jsou velmi nebezpečné pro lidi a zvířata; pokud se dostanou do jejich těla, způsobí velkou škodu. Způsobují také různá onemocnění. Jako je americká spavá horečka, kožní leishmanióza a mnoho dalších. Mohou parazitovat ve střevech, v krvi a na kůži. Tedy nepříznivě ovlivňující lidské zdraví.
Sporozoans
Tento druh prvokového parazita má velmi složitou vývojovou cestu. V současné době je známo, že třída obsahuje přibližně 1400 druhů. Všichni zástupci si „vybírají“ parazitický způsob života a jsou extrémně nebezpeční pro lidi a zvířata. Reprodukce probíhá dělením buněk.

Nejčastěji se jako „místo pobytu“ volí lidské nebo zvířecí tkáně a orgány. Tento druh způsobuje mnoho nemocí. Například malárie, toxoplazmóza.
Ciliates
Patří mezi ně balantidia. Existuje asi 7000 různých druhů. Orgány pohybu těchto parazitů jsou řasinky, kterých je hodně.

Zvláštností tohoto typu je přítomnost dvou jader. Mají konstantní tvar těla a skořápky. K rozmnožování obvykle dochází v důsledku dělení. Tento druh není pro lidi a zvířata o nic méně nebezpečný než předchozí dva.
Sarcodaceae
Patří mezi ně amébová úplavice. Jsou nejprimitivnější ze všech typů a tříd. Existuje asi 10 000 různých druhů! Nemají stálý tvar těla. Parazitují u lidí a zvířat.

Nejčastěji si pro svou činnost vybírají trávicí soustavu. Kvůli nim může u člověka dojít k velmi vážným otravám. V některých případech jsou úmrtí běžná.
Tyto typy spojuje vysoká odolnost vůči různým „testům“. Koneckonců, infikovaná osoba se neustále snaží bojovat s parazity, ale ne vždy to vyjde, protože dokážou odolat všem opatřením.
Proč jsou nebezpečné, jaké nemoci způsobují?
Protozoální parazité jsou skutečně velmi nebezpeční pro lidské zdraví. Mohou způsobit různá onemocnění, která s sebou nesou určité následky. V žádném případě nelze podceňovat parazity prvoků, protože mohou člověku značně ublížit.
Nemoci způsobené prvokovými parazity:
malárie
Toto onemocnění je charakterizováno určitými změnami. Někdy dochází k úlevě, pak je úleva nahrazena exacerbací příznaků. Hlavními příznaky jsou bolesti hlavy, horečka, nevolnost, zvracení a křeče.

Po mnoho let byl chitin považován za nejlepší léčbu. K úmrtí na toto onemocnění však také dochází nejčastěji v místech, kde je medicína vyvinuta na nízké úrovni.
Amébóza
Další neméně nebezpečná nemoc, jejíž následky mohou být také smutné. Původcem je améba dysenterie.
Příznaky se začnou objevovat 7–10 dní po infekci. Patří mezi ně bolest hlavy, celková malátnost, horečka a někteří lidé mohou mít podrážděný žaludek. Následují komplikace, které se projevují v problémech s játry. Pokud pacient nezahájí léčbu včas a nekonzultuje odborníka, následky budou nevratné.
Toxoplazmóza
Původcem onemocnění je Toxoplasma gondii. Mezi příznaky tohoto onemocnění patří poškození očí, trpí nervový systém a také kardiovaskulární systém. Velmi často je infekce zpočátku nenápadná a odezní, jako by šlo o běžné nachlazení.

Infekce během těhotenství je velmi nebezpečná. I když dítě přežije, bude to nejspíš s komplikacemi a poškozením zraku nebo nervové soustavy. I při prvních příznacích je tedy nutné poradit se s lékařem.
Balantidiasis
Způsobeno mikroorganismem, jako je balantidia. Mezi příznaky tohoto onemocnění patří bolesti břicha a poruchy trávení. V některých případech je také možná vysoká horečka a intoxikace těla.
Leishmanióza
Za původce tohoto onemocnění je považována leishmánie. Při kožních a mukokutánních projevech se objevují vředy. Při mukokutánních projevech může často dojít k otoku. Vzhledem k tomu, že tato onemocnění jsou spojena s dýchacími cestami, může dojít k úmrtí.
Leishmanióza se vyskytuje hlavně v horkých zemích. Toto onemocnění je poměrně časté a vyskytuje se v 87 zemích.
Jak vidíte, paraziti prvoků jsou neuvěřitelně nebezpeční pro lidské zdraví, a to i přes jednoduchou strukturu mikroorganismů. Mohou způsobit nenapravitelné poškození lidského těla a také vést k určitým následkům a komplikacím.
Jak se přenášejí?
Existují 4 nejčastější způsoby infekce:
- Kontakt - domácnost. Tento typ se vyskytuje v důsledku porušení hygienických opatření nebo hygienických pravidel. K infekci může dojít při různých akcích: používání věcí jiných lidí, zejména prostředků osobní hygieny, nádobí a podobně. Proto je velmi důležité dodržovat pravidla osobní hygieny, mít vlastní prostředky osobní hygieny a za žádných okolností nepoužívat cizí.
- Fekální – orální. Tento typ se vyskytuje v důsledku kontaktu s výkaly nebo zvratky. Prvotní parazit se nejprve dostane na ruce nebo do potravy „nového hostitele“ a poté do jeho těla.
- Z jídla. Tento typ se vyskytuje v důsledku konzumace kontaminovaných potravin. Mohou to být špatně tepelně upravené ryby nebo maso, neomytá zelenina a ovoce a mléčné výrobky.
- Transmisivní. K tomuto typu dochází v důsledku přenosu z infikovaného předmětu při kousnutí, tedy slinami.
Jak se jich zbavit
Po přečtení článku tato otázka jistě vyvstává. Infekce prvokovými parazity jsou velmi časté, takže otázka jejich odstranění je neuvěřitelně důležitá.
Jak již bylo zmíněno dříve, když se objeví první příznaky infekce, měli byste se poradit s lékařem. Specialista může předepsat určité testy a vyšetření. Po jejich absolvování lékař stanoví přesnou diagnózu. Poté musíte urychleně zahájit léčbu. Nedoporučuje se také samoléčba, protože je to profesionál, který může pomoci stanovit správnou diagnózu a předepsat vhodnou léčbu. Ve většině případů se lékaři uchýlí k léčbě různými léky, které pomáhají eliminovat parazity a urychlit zotavení člověka.
V moderní době existuje mnoho různých dobrých léků, které pomáhají při infekcích prvokovými parazity. Na trhu je obrovské množství léků, které umožňují najít ten správný pro konkrétního pacienta.
Preventivní opatření
Aby se nesetkali s výše uvedenými problémy, je nutné dodržovat určitá pravidla a přijmout preventivní opatření.
Nejúčinnější pravidla jsou ta, která se děti učí ve škole. V první řadě nesmíme zapomenout na důkladné omytí ovoce a zeleniny. Můžete ho také uvařit nebo odříznout slupku.
Dále nemůžete jíst syrové ryby nebo nedovařené maso. Je nutné kompletně připravit pokrm, dodržet teplotní a časové podmínky, aby se produkt zcela uvařil. Je třeba se vyhnout příležitostnému sexuálnímu kontaktu. Je také nutné podstupovat pravidelné lékařské prohlídky.













